- 发布人:xnxy120
- 时间:2025-12-31
- 来源:
- 浏览量:224
本网讯(通讯员 唐琼)当宝宝突然出现阵发性哭闹,无论怎么哄都没用,还伴有呕吐、排出果酱样大便时,宝爸宝妈千万不要掉以轻心,可能是小儿肠套叠来了。小儿肠套叠是婴幼儿常见的急腹症,若延误治疗可能会引发肠坏死,而超声检查正是早期识别它的“火眼金睛”。今天江南娱乐网址登录 超声医学科就来跟大家聊聊小儿肠套叠的超声诊断价值,帮助家长们筑牢宝宝的健康防线。

什么是小儿肠套叠?
小儿肠套叠是指一段肠管及其系膜套入邻近肠管内,导致肠内容物通过受阻,该病在2岁以下婴幼儿中好发。其发病机制与肠道发育不完善、蠕动节律紊乱相关,而饮食变化、肠道感染等是常见的诱因。
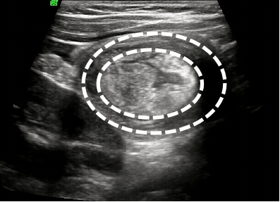
超声诊断肠套叠首选的核心优势是什么?
第一是“无创不遭罪”:做检查时,医生只需要在宝宝肚子上涂抹耦合剂,用探头进行体表扫查,有效避免了钡剂灌肠等传统检查带来的痛苦。

第二是“精准又快速”:肠套叠超声特征典型,“同心圆征”“套筒征”可明确识别;能精准定位套叠部位、范围,评估肠坏死、腹腔积液等并发症,为治疗提供依据。此外,超声检查操作便捷,通常10分钟可完成,能够快速明确诊断,为把握48小时“黄金治疗窗口期”提供有力支持,显著提升非手术复位成功率。
第三是“安全无辐射”:超声靠的是超声波成像,完全没有电离辐射,安全性经过了临床无数次验证。相较于CT等辐射性检查,更适配婴幼儿,多次复查亦不影响生长发育,临床地位不可替代。
第四是“复位显神通”: 病程≤72h,全身情况相对稳定,无明显休克、严重脱水或电解质紊乱,无肠管坏死、肠穿孔或腹膜炎及全身衰竭时。可在超声监视下,经肛门向肠腔灌注生理盐水,即可将肠套叠套入部推挤出鞘部,恢复肠管正常解剖位置,达到非手术治疗的目的,复位失败可再进一步手术治疗。

婴幼儿家属应熟练掌握肠套叠典型症状,一旦发现婴幼儿出现不明原因阵发性哭闹、频繁呕吐、排果酱样便或腹部触及包块等表现,需立即前往正规医院就诊。临床接诊后通常优先采用超声检查进行初步诊断,多数患儿经早期超声诊断及规范治疗后可顺利康复,避免手术及严重并发症发生。
因此,超声检查就像守护宝宝肠道健康的“隐形卫士”,用无创、精准、安全的优势,帮我们早发现、早应对肠套叠。家长多一份了解,宝宝就多一份保障——愿每个小宝贝都能远离病痛,健康成长。
一审:李丽君 二审:李莉 许莉珺 三审:蒋玉兰

